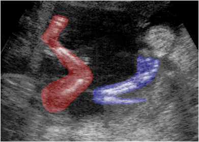
Ecografía fetal que muestra en un corte longitudinal la extremidad inferior (rojo) y la extremidad superior (azul).

Volver