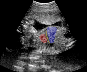
Ecografía fetal que muestra en un corte longitudinal el corazón (rojo), el hígado (azul) y entre ambos una zona econegativa que representa al diafragma (amarillo).

Volver