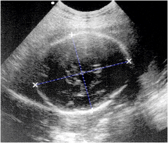
Ecografía de la región cefálica de un feto de 22 semanas que muestra el perímetro craneal de forma oval. Las marcas indican los díametros biparietal (diámetro menor) y fronto-occipital (diámetro mayor).

Volver