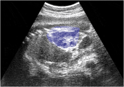
Ecografía de la región abdomino-pélvica de un feto de 20 semanas que muestra la imagen del rińón (azul).

Volver