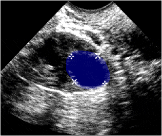
Ecografía ginecológica que muestra el contorno del ovario y en su interior un folículo en desarrollo (azul).

Volver